O bjectives: Integrins are integral cell-surface proteins composed of an alpha chain and a beta chain, of which integrin beta 3 (ITGB3) was known to participate in cell adhesion as well as cell-surface mediated signaling and plays vital roles in different tumors. However, the role of ITGB3 in JAK2V617F-positive classical myeloproliferative neoplasms (cMPNs) remians unclear, and the aim of this study was to explore the effect of ITGB3 on cellular autophagy in JAK2V617F-positive cMPN cell line and its underlying mechanisms.
Methods: ITGB3 expression in bone marrows from JAK2V617F-positive cMPN patients compared to normal controls were detected by quantitative reverse-transcription PCR (qPCR) and further validated by western blotting. Cell models of cMPNs were constructed using human HEL cell lines carrying JAK2V617F mutation and cytokine-dependent wild type BaF3 cells (Jak2 V617F BaF3 cells) with ectopic expression of Jak2 V617F seperately to perform phenotype and mechanism investigation. The putative targets of STAT5a on the promoters of ITGB3 were disclosed by public databases and a dual-luciferase reporter assay and chromatin immunoprecipitation assay (ChIP) was used to analyze the binding of STAT5a to ITGB3 promoter region. To observe the role of ITGB3 played in cMPN progression, stable-transfected HEL cell line with ITGB3 knockdown or overexpression were established by lentivirus packaging and cell transfection. Cell phenotype including cell proliferation, apoptosis and cell cycle distribution were detected by soft agar colony formation assay, BrdU staining, flow cytometry and Terminal deoxynucleotidyl transferase dUTP nick end labeling (TUNEL) assays. The variations of autophagic flux after ITGB3 dysregulation in HEL cells was analyzed using mRFP-GFP-LC3 adenovirus transfection and fluorescence microscopy, and LC3-II/I ratio as well as autophagy-related protein were detected by western blotting. Transmission electron microscopy was used to observe the formation of intracellular autophagosomes and autophagic lysosomes. RNA sequencing and GSEA analysis were applied to predict the downstream pathway and putative targets of ITGB3. Western blotting, immunofluorescence and qPCR were performed to detect the transcription and expression levels of genes.
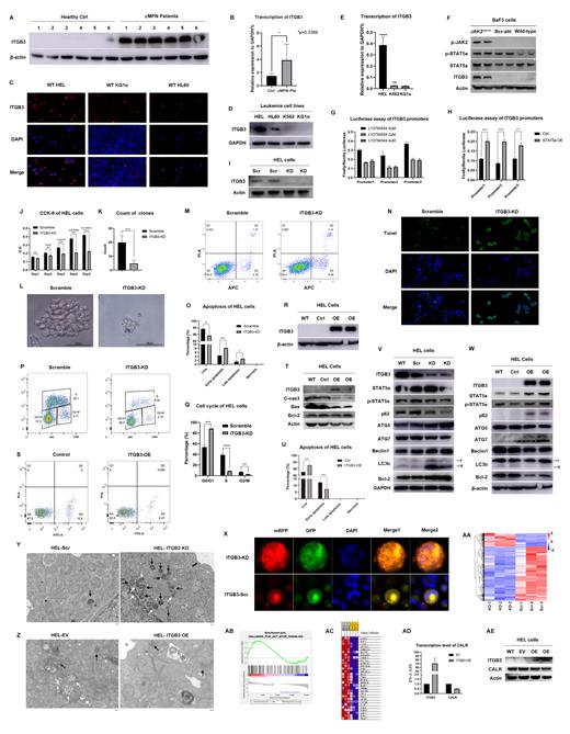
Results: 1.Western blotting and qRT-PCR detection showed increased expression of ITGB3 in bone marrow of JAK2V617F-positive cMPN patients compared to normal controls (A-B). Also, the evaluation of ITGB3 in a variety of myeloid tumor cell lines (HEL, HL60, K562, KG-1a) and wild-type BaF3 cells as well as Jak2 V617F BaF3 cells revealed that ITGB3 protein level is the highest in HEL (which harboring the JAK2V617F) and Jak2 V617F BaF3 cells (C-F). 2. Dual-luciferase reporter assay showed that STAT5a significantly induced the transcription activities of promoters of ITGB3 and inhibition of STAT5a reduced the transcription activities of promoters of ITGB3 (G-H). ITGB3 knockdown (I) in HEL cells reduced the proliferation capacity (J-L), promoted early apoptosis (M-O) and caused cell cycle arrest (P-Q). While ITGB3 overexpression in HEL cells (R) reduced the cell cycle arrest (S) and apoptosis (T-U). 3. Autophagic flux analysis showed that ITGB3 knockdown promoted the autophagic flux in HEL cells (V-X). Inhibition of ITGB3 increases the synthesis and degradation of autophagosomes and accelerates the process of cellular autophagy (Y-Z). Further identification of DEGs in ITGB3-dysregulated HEL cells (AA-AB) reveals that ITGB3 inhibits the expression of calreticulin (AC-AE), and ITGB3 might be involved in the regulation of autophagy in HEL cells through the regulation of calreticulin.
Conclusions: 1. ITGB3 is significantly activated in HEL cell lines carrying the JAK2V617F mutation. 2. ITGB3 protein acts as a pro-oncogene in JAK2V617F-positive myeloproliferative neoplams progression by regulating calreticulin to inhibit autophagy, which deserves more in-depth study in JAK2V617F mutation-positive cMPNs.
Disclosures
No relevant conflicts of interest to declare.

This feature is available to Subscribers Only
Sign In or Create an Account Close Modal